歯の色が自然な白さになるだけで、清潔感が出てお顔の印象が変わります。
1歯のクリーニング、ヤニ取り、研磨
2ブリーチにより歯を白くします。
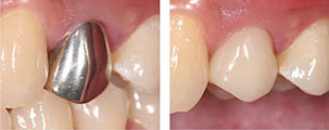
3金属のかぶせ物や変色した被せ物を、天然の歯に近い色のものに入れ替えます。
※2、3のような審美治療は自費になる場合があります。
ホワイトニングには、当院で行う「オフィスホワイトニング」と、ご自宅で行う「ホームホワイトニング」があります。
当院で行うホワイトニングです。
歯のお掃除をしてキレイにしてから、ジェルを塗布し、光を当てて白くします。
ご自宅で行うホワイトニングです。
当院でマウスピースを作ります。(型取り、受取・使い方説明の2回ご来院いただきます。)
ご自宅で歯を磨いた後に、ホワイトニングジェルを注入したマウスピースを数時間はめていただきます。
毎日行った方が早く白くなりますが、オフィスホワイトニングと異なり、お薬が弱めですので、白くなるまで多少時間がかかります。
ゆっくり白くしたい方、忙しくてなかなか来院が難しい方、ご自身の好きな時にホワイトニングしたい方におすすめです。
【注意点・リスク】
ホワイトニング治療は個人により異なりますので、すべての方が必ずしも現在の状態から改善されるという保証はありません。変色の原因によっては色調の改善が見込めないこともあります。
ホワイトニングにより、知覚過敏、歯肉の灼熱感、粘膜の潰瘍、歯の痛み等が生じることがまれにありますが、これらの大部分は一時的なもので、通常数日で治癒します。
※保険適用外の治療になります。
最近では歯を美しく保つことがエチケットになっています。
就職、転職や結婚などを機に審美治療に興味を持たれる方が多くいらっしゃいます。
歯が一本だけ黒ずんでいたり、かけてしまっている方は、その一本を治療するだけでお顔の印象が変わって見えるものです。
部分的な歯の美しさには審美治療をおすすめします。
歯の美しさだけでなく、健康な口元の美しさを目指します。
患者様のさまざまなご要望にお応えします。
歯を一本差し歯にするだけでも、様々な素材があります。
その中でも美しく見える2つをご紹介します。
中身は金属で、外から見える部分にのみセラミック(陶器)を貼りつけたクラウン(かぶせ物、差し歯)です。
見た目があまり変色せず、強度も強いので非常によく使用されます。
金属を全く使用しないセラミックスです。そのため、歯ぐきが黒くなることがありません。
オールセラミックスでは遮断剤を使用しないため、エナメル質と同じような透明感が再現でき、自然の歯と見分けがつかないように作ることができます。
その他、様々な素材を扱っています。
患者様の体質やご要望に沿ってご提案させていただきますので、ご相談ください。
ハイブリッドレジンというセラミックとプラスチックを混ぜた材質で出来たブロックから作るかぶせ物(クラウン)です。
ハイブリッドクラウンは、天然歯に近い透明感と美しさで、より自然な仕上がりになります。また、従来の保険適用の素材より丈夫で衝撃吸収性があるので、長持ちします。
このCAD/CAM冠が保険適用になったため、より美しい仕上がりをご提供できます。
※部位が限られます。

天然歯に近い透明感と艶のある仕上がりです。
表面が滑らかでプラークもつきにくく美しさが長持ちします。
金属アレルギーや、金属による歯肉の黒ずみの心配が低くなります。
歯質と同じくらいの硬さなので、強く噛んでも咬み合う歯や骨を痛めにくく、歯が折れたり割れたりしにくい素材です。
1治療で歯を削ったり抜いたりした場合のインレー(詰め物)、
クラウン(被せ物)、インプラントの上部構造(人工歯)
2昔入れたクラウンなどを作り直したい場合
3セラミックスでは高価すぎるが、金属は使いたくないという場合